Smile Gallery
Before
After
Our patient, a 67-year-old woman, visited us because she was unhappy with the way her smile looked. She had significant staining on her teeth, as well as a number of discolored old fillings. We carefully listened to her express her concerns and goals for treatment.
Before
After
MB wanted to fix her uneven and mismatched front teeth. She also wanted to replace her missing back teeth in order to chew better. One of the challenges we had with MB was that she had a deep bite as a kid which got much worse with missing back teeth leaving us with limited space between her upper and lower back teeth. She was a candidate for a full mouth rehabilitation, which involved not only giving her a new smile but also giving her a new bite to chew food. The results of the treatment were amazing. Now she can eat well and smile with confidence.
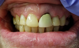
Before
After
BW was aware of his complex dental issues, which required different dental treatment modalities working together to solve his problem. He had consults at various dental offices, prior to seeing us. He wanted to know if we can help him with his dental needs. He was having difficulty chewing food due to his missing teeth and was not happy with his smile. By rehabilitating his mouth using dental implants and crowns we were able to provide BW with the results he wanted. He is smil
Before
After
KB is a very warm person and believes in spreading positivity around the world with her big, beautiful smile and kind actions. She noticed that for the last few years her teeth were chipping and looked smaller than they used to be. It didn't stop her from smiling but eventually she decided to do something about her smile. In only 2 visits and within a period of 2 weeks, her smile was restored back with porcelain veneers. She is thrilled with her new smile and is amazed at the difference in her overall appearance.
Before
After
PC was worried about cracks on her two front teeth. She was scared that she was going to break and lose her front teeth. Patient’s fears were indeed very genuine, and a plan was made to crown those two front teeth. She now has teeth which are protected and have great aesthetics.
Before
After
JP was fed up with his lower dentures and all the issues that came with it, including difficulty in eating, sore gums etc. He was tired of putting his dentures in and out. Implant supported fixed dentures(all on x procedure) were done for the patient which was a life changing for him.JP now does not have to worry about taking his dentures in and out, he can eat all kinds of food and smiles without hesitation. He is enjoying his life to the fullest for the last 4 years.
Before
After
RC, a new patient, presented with discolored teeth and cavities on his front teeth. RC wanted to fix his smile asap, as he was getting married in few days. The plan was made to remove the cavities and do tooth-colored fillings. His teeth were fixed in a single appointment. He was very happy with the results.
Before
After
AJ was our long-term patient, but due to some health problems, he did not see us for a few years. During this time, his oral health deteriorated very quickly. 4 years later he came back to the office in good health ready to review his dental concerns. We made a plan, worked together, and restored his oral health back to normal. His oral health is better than ever before, and he loves his smile.
Before
After
LP did not like her smile and wanted to fix it for years. But she was very anxious about getting any dental work done due to past bad dental experiences. Patient was explained in detail the dental treatment she needed, the duration of each appointment, what to expect during and after each dental appointment, how long would her full treatment take, more importantly this treatment does not involve any pain during or after the treatment. This helped to ease LP's mind and she decided to pursue her dream smile. With the help of porcelain Veneers, we created the beautiful smile she had always wanted. She is thrilled with her new smile now.
Before
After
CW always wanted to fix her overlapping front teeth and gum recession on those teeth. She worked in the hospitality industry and was conscious about her smile. She reported that over time she has changed the way she smiles so that she does not show her front teeth. A treatment plan was made. With the help of a few crowns her concerns were addressed in two dental appointments and within two weeks. She got the smile she had always wanted.
Before
After
Our long-term patient DW lost his upper front teeth due to an accident. A plan was made to replace his missing teeth right away. Immediate Implants were placed with temporary front teeth. Four months later a permanent dental bridge was made on those implants. DW got his smile back just the way it was before, like the accident never happened. We are so happy with the results.
Before
After
PL noticed that her teeth are not visible when she smiles for family pictures. She then realized her front teeth are smaller than they used to be. Patient decided to address it and get her old smile back. With the help of Porcelain veneers, and only in three appointments, we were able to give her smile back. PL was surprised that she can also whistle now, which she was not able to do for the last few years.
Before
After
PA is a public speaker. She got some dental veneers done on her upper front teeth when she was young. For last few years, she noticed her veneers have become discolored and her gums have receded also. We made a plan to replace the old Veneers. Now PA confidently flashes her smile again.
